Tilly wurde hochträchtig in Daruvar/Kroatien auf der Straße gefunden. Tierschützer suchten einen Pflegeplatz für die kleine Hündin, da sie auch eine Verletzung am linken Hinterbein hatte.
Wir haben uns angeboten, sie bei uns aufzunehmen, daher brachten sie Tilly am 22.9.2012 nach Zagreb. Von dort hätte sie am 23.9.2012 zu uns kommen sollen. Sie hat sich in der Pflegestelle bei Ana so wohl gefühlt, dass sie in der Nacht auf Sonntag 7 Welpen zur Welt brachte.
Daher war eine Reise nicht mehr möglich und die kleine Familie blieb bei Ana. Ana brachte sie dann am 26.10.2012 zu uns nach Österreich. Die Kleinen waren damals gerade mal 4 Wochen alt.
Alle Welpen wurden vermittelt und Tilly wurde am 21.12.2012 bei Dr. Rumpf operiert. Sie hatte einen alten Oberschenkelbruch im linken Hinterbein.
Die OP ist gut verlaufen, Tilly hat eine Platte bekommen und muss im September 2013 nochmals operiert werden. Dabei wird die Platte dann wieder entfernt.
Da der Bruch vermutlich schon mind. ein halbes Jahr alt war, musste bei der OP bei beiden Knochenenden 1,5 cm abgeschnitten werden. Dadurch ist ihr linkes Hinterbein nun verkürzt und Tilly wird immer humpeln. Aber mittlerweile verwendet sie ihr Bein schon wieder mehr.
Ein Kontrollröngten im Jänner 2013 zeigte, das alles in Ordnung ist.
Für die OP haben wir 456 Euro bezahlt und dies wurde von unserem Gewinn beim Raiffeisenspiel bezahlt.
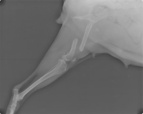
Tilly wurde am 19.2.2013 kastriert und da haben wir nochmal ein Kontrollröntgen machen lassen. Auf diesem Foto kann man sehr gut erkennen, dass der Knochen kürzer ist.
Sobald Tilly wieder ganz gesund ist, werden wir auch für sie ein schönes neues Zuhause suchen.
Am 30.9.2013 hat Tilly die Platte an ihrem Oberschenkel wieder rausbekommen. Es geht ihr gut und sie hüpft schon wieder rum. Die OP hat 130 Euro gekostet.
Tilly durfte am 24.11.2013 in ihr neues Zuhause und zu einem Hundefreund ziehen!
Leider ist Tilly im Jahr 2022 verstorben! RIP Tilly!







